КОГНИТИВИКА

asa
МРТ и модели головы

В asa используются новейшие из доступных для рендеринга пиксельных изображений и 3D-объектов технологии.

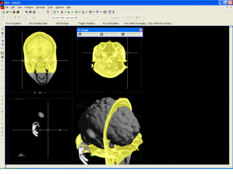
Вид МРТ позволяет свободно вращать срезы. Он сочетает в себе отображение МРТ, сегментацию отделов головы, инверсные реконструкции (такие как MUSIC, LORETA, кортикальная визуализация и кортикальные ERD/ERS, а также результаты подгонки диполей) и фМРТ.

Кроме того, все объекты, обычно отображаемые в видн 3D (например, карты ЭЭГ/МЭГ, модели головы и датчики), могут быть добавлены на дисплей.

Система координат Talairach и трансформации
asa позволяет преобразовывать результаты, полученные от участника, в стандартизированную систему координат Talairach. Для этой цели на МРТ участника помещается набор анатомических ориентиров, на основании которого осуществляется преобразование.

Преобразованная МРТ (которая сильно отличается от индивидуальной МРТ, поскольку ориентация и интервал между срезами определяются заново и применяются для создания нового блока МРТ) затем экспортируется в форматы asa или Analyze (SPM).

Такая же схема может быть применена к результатам LORETA и MUSIC для получения данных, которые могут быть дополнительно обработаны в групповой статистике.

Сегментация МРТ и КТ

Сегментация мозга используется для создания модели головы для реконструкции МЭГ. На этом рисунке рендер мозга показан в сочетании с сегментацией скальпа (желтые области) в 3D.