КОГНИТИВИКА

waveguard original
Характеристики и преимущества

Шлемы waveguard original – одни из новейших и самых продвинутых ЭЭГ шлемов на рынке. Благодаря использованию легкого и гибкого спеченного материала Ag/AgCl, шлемы waveguard original отлично садятся на головы различной формы, что упрощает процесс наложения и обеспечивает удобство участников во время записи. Возможность использовать экранированные отведения гарантирует наилучшее качество данных.

waveguard original позволяют удовлетворить даже самые высокие требования в областях науки о мозге и диагностики.

Сигнал ЭЭГ высокого качества

Спеченные электроды Ag/AgCl обеспечивают лучшее качество сигнала ЭЭГ среди всех электродных материалов и не требуют технического обслуживания (нет необходимости в повторном хлорировании).
Легкое наложение

Шлем waveguard original подходящего размера крепится с помощью входящего в комплект подбородочного ремешка или с помощью дополнительного нагрудного ремня. Контакт между электродами и головой участника осуществляется благодаря использованию проводящего геля. Гель наносится с помощью шприца с тупой иглой или с помощью дозатора. Небольшие высококачественные спеченные Ag/AgCl электроды обеспечивают быстрое и легкое наложение.
Опция активного экранирования

Используя шлем waveguard original с технологией активного экранирования, Вы можете записывать высококачественную ЭЭГ в условиях, когда обычные электродные системы не работают. Например, при проведении исследований ЭЭГ/ВП с использованием портативной системы ВП без доступа к экранированному помещению. В этих случаях активное экранирование отведений электродов будет защищать Ваши данные от шума окружающей среды частотой 50/60 Гц. Более того, активное экранирование защищает данные, когда участник совершает какие-либо физические действия. Активное экранирование работает только тогда, когда и усилитель, и шлем экранированы.

Основные преимущества активного экранирования:

Движение электродных кабелей не мешает записи ЭЭГ
Хороший сигнал даже при высоком сопротивлении.

Экранируется шум окружающей среды 50/60 Гц.

Нет необходимости в дорогих и хрупких предварительных усилителях на шлеме.
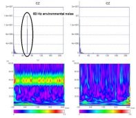
Изображения ниже показывают сравнение между спектрами мощности ЭЭГ, измеренными с помощью обычного шлема (электро-шлем, ECI), и спектрами, измеренными с помощью шлема с экранированными электродами. Запись была проведена в США в стандартной ЭЭГ лаборатории. Данные не фильтровали. Как вы можете видеть, спектр мощности обычного шлема (слева) показывает четкий пик около 60 Гц.

Видно четкое снижение частоты 50 Гц между записями с неэкранированного и экранированного шлема. При активном экранировании сигнал обратной связи от усилителя на экран приводит к «нулевой емкости» между сердечником и экраном. Это делает отведения (а соответственно и весь шлем) совершенно невосприимчивыми к внешнему шуму, например, вызванному помехами от сети или движением кабелей.

Сравнение спектра и частотно-временных графиков сигнала на электроде CZ: с использованием электро-шлема (слева) и шлема waveguard (справа). При использовании экранированных электродов шум окружающей среды значительно снижается!
Подключается к любой системе ЭЭГ

Шлемы waveguard original оснащены специальными разъемами для быстрого и простого подключения и отключения от головной панели ЭЭГ. В случае, если разъем шлема waveguard original не подключается непосредственно к головной панели, его можно подключить при помощи одного из наших адаптеров.
Удобная посадка, несколько размеров

Мягкая ткань и резиновые корпусы электродов обеспечивают удобное прилегание к голове даже в течение продолжительного времени записи. Каждый шлемwaveguard original поставляется с подбородочным ремешком и завязкой; Вы можете использовать любой из этих двух методов крепления по желанию. Дополнительный нагрудный ремень позволяет закрепить шлем без крепления в области подбородка. Эластичная ткань Coolmax позволяет подобрать шлем нужного размера в широком диапазоне окружностей головы. waveguard original среднего размера подходит примерно для 65% населения в возрасте 10 лет и старше. Оптимизированная форма электродов сводит к минимуму индукционные артефакты (например, фМРТ, ТМС).
Цветовая маркировка размеров

Чтобы Вы смогли легко отличить шлемы разных размеров, мы создали 6 дизайнов шлема. Мы взяли четыре цвета (синий, красный, желтый и серый) и по-разному скомбинировали их для обозначения различных размеров. Все шлемы также снабжены маркировкой размера на шее.
Возможность ко-регистрации с фМРТ или МЭГ

Шлемы waveguard original доступны в множестве размеров, схем расположения электродов и типов. В дополнение к стандартным ЭЭГ шлемам, ANT предлагает также шлемы для ко-регистрации ЭЭГ с МЭГ или фМРТ.

До 256 электродов по эквидистантной или схеме 10-20

Шлемы waveguard доступны в конфигурациях до 256 электродов. Каждая конфигурация соответствует системе 10-20 или системе Дьюка, в которой соседние электроды расположены на равном расстоянии друг от друга.

Совместимость с ТМС

Все шлемы waveguard совместимы с ТМС. Высококачественная ЭЭГ может быть записана прямо во время ТМС.
Два варианта электродных колец

Стандартные кольца шириной 16 мм подходят для межэлектродных расстояний до .35 мм, а 13 мм маленькие кольца подходят для шлемов высокой плотности с 128 или более каналами, детских шлемов с 32 или более каналами и для всех шлемов для новорожденных. Все шлемы waveguard original с 128 или более каналами по умолчанию оснащены маленькими кольцами. Так как электродные кольца могут быть легко заменены самостоятельно, мы продаем их отдельно. Пожалуйста, свяжитесь с нами, если Вы хотите получить больше информации о новых кольцах высокой плотности или если Вы заинтересованы в их покупке.